R V Tucker Club #44
Photos of Clinical Operations
Site Navigation
[Skip]
Home
Dr. May Chang’s cases
March 1, 2012
February 2, 2012
January 5, 2012
Hilo November 4 and December 3, 2011
Sidebar
[Skip]
club #44 clinical operations Archive
March 2020
February 2020
January 2020
December 2019
February 2019
January 2019
December 2018
November 2018
October 2018
September 2018
May 2018
April 2018
March 2018
February 2018
January 2018
December 2017
November 2017
October 2017
September 2017
May 2017
March 2017
February 2017
January 2017
December 2016
November 2016
October 2016
September 2016
May 2016
April 2016
March 2016
January 2016
December 2015
November 2015
October 2015
September 2015
May 2015
April 2015
March 2015
February 2015
December 2014
November 2014
October 2014
September 2014
August 2014
June 2014
April 2014
March 2014
February 2014
January 2014
December 2013
November 2013
October 2013
September 2013
May 2013
April 2013
March 2013
January 2013
December 2012
November 2012
October 2012
September 2012
June 2012
April 2012
March 2012
February 2012
January 2012
November 2011
club #44 clinical operations
Academy of R. V. Tucker study clubs annual meeting - August 23, 2014 clinical session
Dr. Lino Vanzella and Dr. Randy Allan - Mentors
Wayne Chin #29 pre-op
Wayne Chin #29 caries removal
Wayne Chin #29 prep
Wayne Chin #29 finish
Kyle Chock #12-13 pre-op
Kyle Chock #12,13 pre-op with dam
Kyle Chock #12, 13 caries removal
Kyle Chock #12, 13 prep
Mitchell Chun #4 pre-op
Mitchell Chun #4 pre-op with dam
MItchell Chun #4 caries removal
Mitchell Chun #4 prep
Mitchell Chun #4 model
Mitchell Chun #4 casting
Mitchell Chun #4 casting internal
Mitchell Chun #4 finish
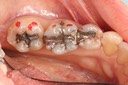
Larry Fujioka #29, 30
Larry Fujioka #29,30 with dam
Larry Fujioka #29,30 caries removal
Larry Fujioka #29,30 buccal view
Larry Fujioka #29, 30 prep
Carla Fukumoto #5 pre-op
Carla Fukumoto #5 pre-op with dam
Carla Fukumoto #5 caries removal
Carla Fukumoto #5 prep
Carla Fukumoto #5 casting internal
Carla Fukumoto #5 model
Carla Fukumoto #5 casting on model
Carla Fukumoto #5 finish
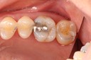
Tim Hess #3 prep
Tim Hess #3 casting
Tim Hess #3 casting internal
Tim Hess #3 finish
Scott Kanamori #3 pre-op
Scott Kanamori #3 pre-op with dam
Scott Kanamori #3 caries removal
Scott Kanamori #3 prep
Ted Kanamori #29, 30, 31 pre-op
Ted Kanamori #29, 31 caries removal
Ted Kanamori #31 prep
Ted Kanamori #29 prep
Ted Kanamori #29, 31 casting try in
Ted Kanamori #30 amalgam removal
Ted Kanamori #30 prep
Ted Kanamori #29, 31 finish, #30 prep
Wes Sato #5 pre-op
Wes Sato #5 amalgam removal
Wes Sato #5 caries removal
Wes Sato #5 prep
Mason Savage #4 pre-op
Mason Savage #4 with dam on
Mason Savage #4 prep
Mason Savage #4 prep
Gary Umeda #30 pre-op
Gary Umeda 29, 30, 31
Gary Umeda #30 with dam
Gary Umeda #19 caries removal
Gary Umeda #19 buccal prep
Gary Umeda #19 prep
Gary Umeda #19 foil
Stephanie Wong #31 prep
Stephanie Wong model
Stephanie Wong #31 casting
Stephanie Wong casting on model
Stephanie Wong #31 finish
John Wu #20 pre-op
John Wu #20 pre-op with dam
John Wu #20 caries removal
John Wu #20 prep
John Wu #20 model
John Wu #20 casting
John Wu #20 casting on model
John Wu #30 finish
Roland Ylarde #4 pre-op
Roland Ylarde #4 pre-op with dam
Roland Ylarde #4 caries removal
Roland Ylarde #4 prep
Roland Ylarde model
Roland Ylarde casting
Roland Ylarde casting on model
Roland Ylarde #4 finish
Brandon Yokota #12 pre-op
Brandon Yokota #12 pre-op with dam
Brandon Yokota #12 caries removal
Brandon Yokota #12 prep
Brandon Yokota model
Brandon Yokota casting
Brandon Yokota #12 casting on model
Brandon Yokota #12 finish
Aug 26, 2014 at 2:54 PM
[Back To Top]