Tucker logo

R V Tucker Club #44

Photos of Clinical Operations

Site Navigation[Skip]

  • Home
  • Dr. May Chang’s cases
  • March 1, 2012
  • February 2, 2012
  • January 5, 2012
  • Hilo November 4 and December 3, 2011

Sidebar[Skip]

club #44 clinical operations Archive

  • March 2020
  • February 2020
  • January 2020
  • December 2019
  • February 2019
  • January 2019
  • December 2018
  • November 2018
  • October 2018
  • September 2018
  • May 2018
  • April 2018
  • March 2018
  • February 2018
  • January 2018
  • December 2017
  • November 2017
  • October 2017
  • September 2017
  • May 2017
  • March 2017
  • February 2017
  • January 2017
  • December 2016
  • November 2016
  • October 2016
  • September 2016
  • May 2016
  • April 2016
  • March 2016
  • January 2016
  • December 2015
  • November 2015
  • October 2015
  • September 2015
  • May 2015
  • April 2015
  • March 2015
  • February 2015
  • December 2014
  • November 2014
  • October 2014
  • September 2014
  • August 2014
  • June 2014
  • April 2014
  • March 2014
  • February 2014
  • January 2014
  • December 2013
  • November 2013
  • October 2013
  • September 2013
  • May 2013
  • April 2013
  • March 2013
  • January 2013
  • December 2012
  • November 2012
  • October 2012
  • September 2012
  • June 2012
  • April 2012
  • March 2012
  • February 2012
  • January 2012
  • November 2011

club #44 clinical operations

January 9, 2014

Dr. Bob Nevin  -  Mentor

Wayne Chin #31 pre-op

Wayne Chin #31 pre-op

Wayne Chin #31 amalgam removal

Wayne Chin #31 amalgam removal

Alan Chinn #31 pre-op

Alan Chinn #31 pre-op

Alan Chinn #31 buccal view

Alan Chinn #31 buccal view

Alan Chinn #31 amalgam removal

Alan Chinn #31 amalgam removal

Alan Chinn #31 prep

Alan Chinn #31 prep

Kyle Chock #2 pre-op

Kyle Chock #2 pre-op

Kyle Chock #2 composite removal

Kyle Chock #2 composite removal

Kyle Chock #2 prep

Kyle Chock #2 prep

Mark Chun #31 pre-op

Mark Chun #31 pre-op

Mark Chun #31 amalgam removal

Mark Chun #31 amalgam removal

Mark Chun #31 prep

Mark Chun #31 prep

Larry Fujioka #2 pre-op

Larry Fujioka #2 pre-op

Larry Fujioka #2 pre-op

Larry Fujioka #2 pre-op

Larry Fujioka #2 pre-buildup

Larry Fujioka #2 pre-buildup

Larry Fujioka #2 prep

Larry Fujioka #2 prep

Larry Fujioka #2 prep

Larry Fujioka #2 prep

Scott Kanamori #31 pre-op

Scott Kanamori #31 pre-op

Scott Kanamori #31 amalgam removal

Scott Kanamori #31 amalgam removal

Scott Kanamori #31 prep

Scott Kanamori #31 prep

Ted Kanamori #19 pre-op

Ted Kanamori #19 pre-op

Ted Kanamori #19 prep

Ted Kanamori #19 prep

Brian Sato #29 pre-op

Brian Sato #29 pre-op

Brian Sato #29 amalgam removal

Brian Sato #29 amalgam removal

Brian Sato #29 prep

Brian Sato #29 prep

Wes Sato #30 pre-op

Wes Sato #30 pre-op

Wes Sato #30 amalgam removal

Wes Sato #30 amalgam removal

Wes Sato #30 buccal view

Wes Sato #30 buccal view

Wes Sato #30 prep

Wes Sato #30 prep

Russ Tabata #18 pre-op

Russ Tabata #18 pre-op

Russ Tabata #18 amalgam removal

Russ Tabata #18 amalgam removal

Russ Tabata #18 prep

Russ Tabata #18 prep

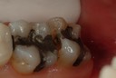
Gary Umeda #29,30,31 prep

Gary Umeda #29,30,31 prep

Gary Umeda #30 foil

Gary Umeda #30 foil

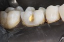
Gary Umeda #29, 30, 31 finish

Gary Umeda #29, 30, 31 finish


Jan 10, 2014 at 8:39 AM

[Back To Top]