Tucker logo

R V Tucker Club #44

Photos of Clinical Operations

Site Navigation[Skip]

  • Home
  • Dr. May Chang’s cases
  • March 1, 2012
  • February 2, 2012
  • January 5, 2012
  • Hilo November 4 and December 3, 2011

Sidebar[Skip]

club #44 clinical operations Archive

  • March 2020
  • February 2020
  • January 2020
  • December 2019
  • February 2019
  • January 2019
  • December 2018
  • November 2018
  • October 2018
  • September 2018
  • May 2018
  • April 2018
  • March 2018
  • February 2018
  • January 2018
  • December 2017
  • November 2017
  • October 2017
  • September 2017
  • May 2017
  • March 2017
  • February 2017
  • January 2017
  • December 2016
  • November 2016
  • October 2016
  • September 2016
  • May 2016
  • April 2016
  • March 2016
  • January 2016
  • December 2015
  • November 2015
  • October 2015
  • September 2015
  • May 2015
  • April 2015
  • March 2015
  • February 2015
  • December 2014
  • November 2014
  • October 2014
  • September 2014
  • August 2014
  • June 2014
  • April 2014
  • March 2014
  • February 2014
  • January 2014
  • December 2013
  • November 2013
  • October 2013
  • September 2013
  • May 2013
  • April 2013
  • March 2013
  • January 2013
  • December 2012
  • November 2012
  • October 2012
  • September 2012
  • June 2012
  • April 2012
  • March 2012
  • February 2012
  • January 2012
  • November 2011

club #44 clinical operations

April 5, 2012

Dr.  Mike McDonald  -  Mentor

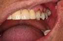
Wayne Chin #20 pre-op

Wayne Chin #20 pre-op

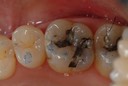
Wayne Chin #20 prep

Wayne Chin #20 prep

Alan Chinn #12 pre-op

Alan Chinn #12 pre-op

Alan Chinn #12 amalgam removal

Alan Chinn #12 amalgam removal

Alan Chinn #12 lingual view

Alan Chinn #12 lingual view

Alan Chinn #12 prep

Alan Chinn #12 prep

Alan Chinn #12 try in

Alan Chinn #12 try in

Alan Chinn #12 finish

Alan Chinn #12 finish

Alan Chinn #12 anterior view

Alan Chinn #12 anterior view

Alan Chinn #12 finish - buccal view

Alan Chinn #12 finish - buccal view

Alan Chinn #12 anterior view

Alan Chinn #12 anterior view

Kyle Chock #30 pre-op

Kyle Chock #30 pre-op

Kyle Chock #30 prep

Kyle Chock #30 prep

Mark Chun #6-7 pre-op

Mark Chun #6-7 pre-op

Mark Chun #6 labial view

Mark Chun #6 labial view

Mark Chun #6 amalgam removal

Mark Chun #6 amalgam removal

Mark Chun #6 prep

Mark Chun #6 prep

Mark Chun #6 labial view

Mark Chun #6 labial view

Mark Chun #6 try in

Mark Chun #6 try in

Mark Chun #6 model

Mark Chun #6 model

Mark Chun #6 cementation

Mark Chun #6 cementation

Mark Chun #6 labial view

Mark Chun #6 labial view

Mark Chun #7 prep

Mark Chun #7 prep

Mark Chun #7 finish

Mark Chun #7 finish

Larry Fujioka #3 pre-op

Larry Fujioka #3 pre-op

Larry Fujioka #3 caries removal

Larry Fujioka #3 caries removal

Larry Fujioka #3 prep

Larry Fujioka #3 prep

Larry Fujioka #3 prep

Larry Fujioka #3 prep

Frank Fukuda #19 pre-op

Frank Fukuda #19 pre-op

Frank Fukuda #19 amalgam removal

Frank Fukuda #19 amalgam removal

Frank Fukuda #19 prep

Frank Fukuda #19 prep

Frank Fukuda #19 cementation

Frank Fukuda #19 cementation

Frank Fukuda #19 lingual view

Frank Fukuda #19 lingual view

Ted Kanamori #3 pre-op

Ted Kanamori #3 pre-op

Ted Kanamori #3 prep

Ted Kanamori #3 prep

Ted Kanamori #3 impression

Ted Kanamori #3 impression

Ted Kanamori #3 finish

Ted Kanamori #3 finish

Mendel Sato #14 pre-op

Mendel Sato #14 pre-op

Mendel Sato #14 amalgam removal

Mendel Sato #14 amalgam removal

Mendel Sato #3 prep

Mendel Sato #3 prep

Mendel Sato #3 finish

Mendel Sato #3 finish

Mendel Sato #3 anterior view

Mendel Sato #3 anterior view

Wes Sato #19 pre-op

Wes Sato #19 pre-op

Wes Sato #19 composite removal

Wes Sato #19 composite removal

Wes Sato #19 prep

Wes Sato #19 prep

Wes Sato #19 finish

Wes Sato #19 finish

Wes Sato #14 pre-op

Wes Sato #14 pre-op

Wes Sato #14 prep

Wes Sato #14 prep

Gary Umeda #18-19 pre-op

Gary Umeda #18-19 pre-op

Gary Umeda #19 prep

Gary Umeda #19 prep

Gary Umeda #18-19 prep

Gary Umeda #18-19 prep

Gary Umeda #19 foil

Gary Umeda #19 foil

Gary Umeda #18-19 finish

Gary Umeda #18-19 finish

Chris Woo #30 pre-op

Chris Woo #30 pre-op

Chris Woo #30 prep

Chris Woo #30 prep

Chris Woo #30 finish

Chris Woo #30 finish

Chris Woo #30 finish

Chris Woo #30 finish


Apr 6, 2012 at 11:50 AM

[Back To Top]