R V Tucker Club #44
Photos of Clinical Operations
Site Navigation
[Skip]
Home
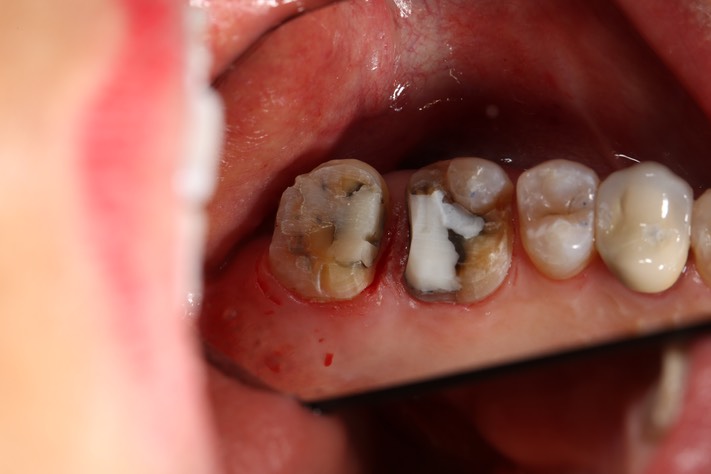
Dr. May Chang’s cases
March 1, 2012
February 2, 2012
January 5, 2012
Hilo November 4 and December 3, 2011
Gary Umeda #14-15 prep
Previous
Next
List
[Back To Top]