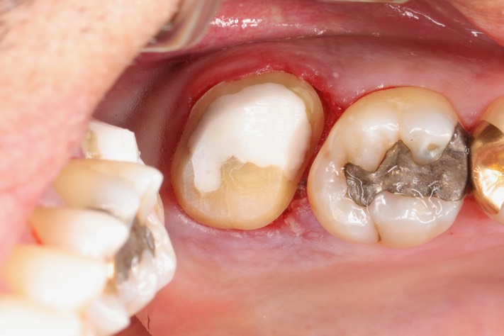
Alan Chinn #15 prep

Alan Chinn #15 prep