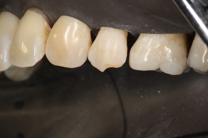
Larry Fujioka #13 buccal view