Tucker logo

R V Tucker Club #44

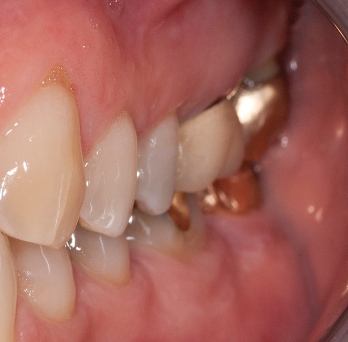
Photos of Clinical Operations

Site Navigation[Skip]

  • Home
  • Dr. May Chang’s cases
  • March 1, 2012
  • February 2, 2012
  • January 5, 2012
  • Hilo November 4 and December 3, 2011

Title

Previous
Next
List
_DSC5745



[Back To Top]